Por Que Arrancar Dente em Casa Pode Ser Sua Pior Decisão? Os Riscos Reais Que Você Precisa Conhecer

Por Que Arrancar Dente em Casa Pode Ser Sua Pior Decisão? Os Riscos Reais Que Você Precisa Conhecer A tentação de resolver um problema dental em casa pode parecer uma solução rápida e econômica, mas esta decisão aparentemente simples pode se transformar no maior erro da sua vida. Como cirurgião-dentista com ampla experiência na OdontoGama Vila Matilde, testemunho diariamente as consequências devastadoras de tentativas de extração dental domiciliar que poderiam ter sido facilmente evitadas com atendimento profissional adequado. Os dados são alarmantes: estudos recentes indicam que mais de 70% dos pacientes que buscam atendimento odontológico de urgência já praticaram algum tipo de automedicação ou tentativa de tratamento caseiro. No Brasil, registramos cerca de 20 mil mortes anuais devido à automedicação inadequada, e uma parcela significativa destes casos está relacionada a complicações de origem dental que evoluíram para quadros sistêmicos graves. A realidade é que extrarigoso – é potencialmente fatal. Casos documentados mostram que procedimentos odontológicos mal executados podem evoluir para sepse, infecções generalizadas e até mesmo óbito. Este artigo apresentará evidências científicas concretas sobre os riscos envolvidos e casos reais que demonstram por que buscar ajuda profissional é a única opção segura. Os Números Alarmantes da Automedicação Dental Estatísticas Preocupantes no Brasil A situação da automedicação dental no Brasil é mais grave do que muitos imaginam. Pesquisas científicas revelam dados que deveriam servir como alerta vermelho para qualquer pessoa que considere tratar problemas dentais por conta própria: 79,5% dos pacientes que procuram serviços de urgência odontológica já estavam praticando automedicação 70,3% dos pacientes afirmam fazer ou já ter feito uso de automedicação para problemas bucais1 596 mil casos de intoxicação foram provocados por medicamentos entre 2012 e 2021 A prevalência da automedicação pode variar de 11,7% a 92% entre diferentes populações Estes números revelam uma realidade preocupante: a grande maioria das pessoas que enfrentam problemas dentais tenta resolver a situação por conta própria antes de procurar ajuda profissional, colocando sua saúde e vida em risco desnecessário. O Perfil dos Pacientes em Risco As pesquisas indicam que determinados grupos apresentam maior vulnerabilidade à automedicação dental. Mulheres representam 65% dos casos de automedicação, com média de idade de 33 anos. Fatores socioeconômicos também influenciam significativamente esta prática: pessoas com menor renda e escolaridade, assim como aquelas com dificuldades de acesso aos serviços odontológicos, são mais propensas a tentar soluções caseiras. Casos Reais: Quando a Tentativa Caseira se Torna Tragédia Mortes Documentadas Relacionadas a Procedimentos Dentais A literatura médica registra casos trágicos que ilustram dramaticamente os riscos envolvidos em procedimentos odontológicos inadequados. Em 2023, a jovem Isadora Belon Albanese, de 18 anos, morreu após complicações decorrentes de uma extração de dente do siso. Embora realizada em consultório, este caso evidencia como mesmo procedimentos aparentemente simples podem evoluir para situações críticas quando não há manejo adequado das complicações. Em Minas Gerais, dois casos de óbito em consultórios odontológicos em 2021 – uma criança de 10 anos e uma idosa de 67 anos – destacaram a importância do preparo profissional e da infraestrutura adequada para emergências. Se procedimentos realizados por profissionais podem apresentar complicações, imagine os riscos de tentativas domiciliares. O Caso Internacional que Chocou o Mundo Um caso documentado na Ucrânia, onde um paciente tentou extrair 13 dentes por conta própria, resultou em morte. Este exemplo extremo demonstra como a falta de conhecimento anatômico e técnico adequado pode levar a consequências fatais. Complicações Graves Documentadas A literatura científica registra diversas complicações graves relacionadas a extrações dentais mal executadas: Sepse e infecção generalizada: Uma mulher de 31 anos morreu após extrair um dente e desenvolver choque séptico e Angina de Ludwig Hemorragias descontroladas: Sangramentos que podem durar horas ou dias sem controle adequado Lesões em estruturas adjacentes: Danos aos dentes vizinhos, fraturas ósseas e lesões neurológicas Alveolite: Infecção do alvéolo que causa dor intensa e pode evoluir para complicações sistêmicas Os Riscos Anatômicos e Fisiológicos Complexidade da Anatomia Oral A cavidade oral apresenta uma complexidade anatômica que exige conhecimento técnico especializado. Cada dente possui raízes com formatos específicos, relações íntimas com estruturas nervosas, vasculares e ósseas que podem ser facilmente lesionadas durante tentativas de extração inadequadas. Estruturas em risco durante extrações caseiras: Nervos alveolares (podendo causar parestesia permanente) Vasos sanguíneos importantes (risco de hemorragias graves) Seio maxilar (perfuração e sinusite) Dentes adjacentes (fraturas e luxações) Osso alveolar (fraturas extensas) Instrumentos Inadequados e Seus Perigos Tentativas de extração domiciliar frequentemente envolvem o uso de instrumentos inadequados e não esterilizados. Alicates, pinças domésticas e outros objetos improvisados não possuem a precisão e especificidade dos fórceps odontológicos profissionais. Esta inadequação instrumental aumenta exponencialmente os riscos de: Fratura dental com permanência de fragmentos radiculares Lacerações extensas em tecidos moles Infecções por contaminação bacteriana Lesões traumáticas em estruturas adjacentes Complicações Infecciosas: O Perigo Invisível Alveolite: A Complicação Mais Comum A alveolite é uma das complicações mais frequentes após extrações dentais, especialmente quando realizadas inadequadamente. Esta condição se caracteriza pela infecção do alvéolo dental após a remoção do dente, causando dor intensa que pode se irradiar para toda a face. Fatores que aumentam o risco de alveolite em extrações caseiras: Falta de técnica asséptica adequada Trauma excessivo durante a extração Instrumentos não esterilizados Ausência de cuidados pós-operatórios apropriados Impossibilidade de prescrição de medicamentos adequados Progressão para Infecções Sistêmicas O que muitas pessoas não compreendem é que infecções de origem dental podem rapidamente evoluir para quadros sistêmicos graves. A sepse, uma resposta inadequada do organismo contra uma infecção, pode levar ao mau funcionamento de órgãos vitais e morte quando não diagnosticada e tratada rapidamente6. Sinais de alerta para infecções sistêmicas: Febre persistente Inchaço facial extenso Dificuldade para engolir ou respirar Mal-estar geral intenso Alterações da consciência Resistência Bacteriana: Um Problema Crescente O Uso Inadequado de Antibióticos Uma das práticas mais perigosas associadas às tentativas de tratamento dental caseiro é a automedicação com antibióticos. No Brasil, 83,7% dos homens e 73,3% das mulheres que trabalham em farmácias indicam medicamentos sem prescrição para pacientes com dor dental. Esta prática irresponsável contribui significativamente para o desenvolvimento de resistência bacteriana, tornando infecções futuras mais difíceis
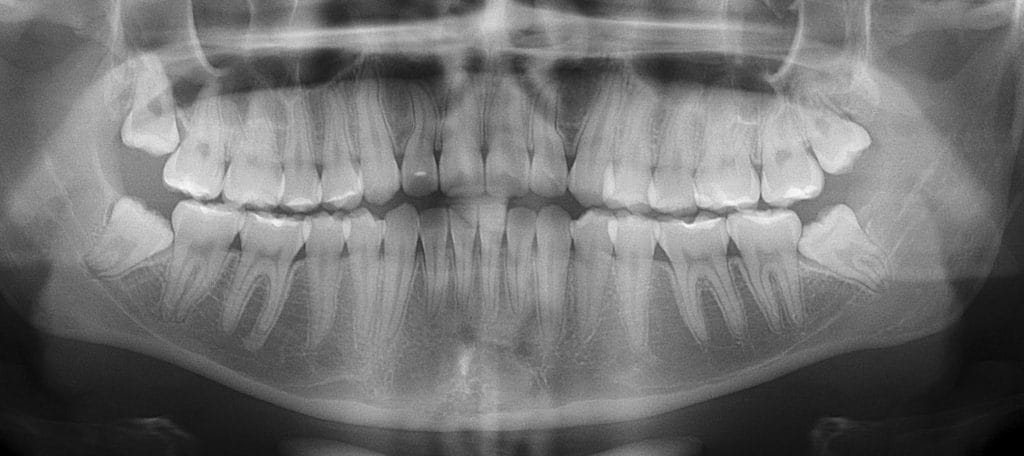
Dente incluso: preciso tirar? Saiba tudo antes que vire um problema grave

Descubra se você precisa tirar o dente incluso e como o procedimento é feito. Agende agora na Odonto Gama, referência em extração de siso na Zona Leste de SP.
Prótese protocolo quebrou: entenda o que pode ter acontecido

Prótese protocolo quebrou? Descubra as causas, o que fazer e como consertar. Agende uma avaliação na Odonto Gama, referência em reabilitação oral.
Dente incluso é perigoso? Descubra agora os riscos que você não pode ignorar

Dente incluso é perigoso? Entenda os riscos e descubra quando a extração é necessária. Agende agora sua avaliação com a Odonto Gama, referência em siso.
Extração de dente quando realmente é necessária

Dor, medo e alívio: entenda tudo sobre extração de dente e quando ela é realmente necessária
Extração de Dente Siso: Guia Completo sobre Riscos, Segurança e Cuidados Essenciais

A extração do dente siso, também conhecido como terceiro molar, é um dos procedimentos odontológicos mais comuns realizados em todo o mundo.
Como Escolher a Escova Dental Ideal para Sua Saúde Bucal

Escolher a escova de dentes correta é fundamental para manter a higiene bucal adequada e prevenir problemas como cáries, gengivite e o acúmulo de tártaro.
Extração de Siso com Especialista Bucomaxilofacial na Zona Leste de São Paulo

Na Odonto Gama, oferecemos serviços especializados em Cirurgia Bucomaxilofacial para a remoção de dentes do siso em casos complexos, como dentes inclusos, impactados ou próximos de estruturas sensíveis como nervos e seios maxilares.
Extração de Siso na Zona Leste de São Paulo

Na Odonto Gama, realizamos a extração de siso com máxima segurança, mesmo em casos complexos. Se o seu dente do siso está incluso, impactado, deitado, dentro do osso ou próximo ao nervo, a cirurgia exige um especialista qualificado.
Extração de Siso com Especialista Bucomaxilo na Zona Leste – SP

Os dentes do siso podem nascer de forma irregular, causando dor, inflamação e dificuldades na higienização.